症例紹介
お悩みから探す
治療方法から探す
あごのずれ(上・下顎偏位)受け口・しゃくれ(下顎前突) 大人の矯正
20代女性 受け口とあごのずれが気になり来院
-

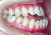
Before

After
-
症例情報
主訴 受け口とあごのずれ 診断名あるいは主な症状 顎変形症、下顎前突 治療期間・回数 治療期間は3年7か月 年齢 20代 治療に用いた主な装置 クォードヘリックス、エッジワイズブラケット 抜歯部位 左上の第2小臼歯 治療費概算 ここまでの費用は、総額約27万円です。(公的医療保険が適用されています。これ以外に外科手術の費用がかかりますが、公的医療保険に加え高額療養費制度の適用になります。) リスク副作用 矯正治療には、う蝕や歯肉炎・歯周病、歯根吸収、歯肉退縮 などのリスクがあります。 -

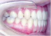
下の歯が上の歯より前に出て前歯は咬めていません。左上の第2小臼歯は骨の中に埋まっています。
また下あごは左にずれています。顎変形症、下顎前突と診断しました。


クォードヘリックスで上顎歯列を左右へ拡げた後、右上第1小臼歯を抜歯し、エッジワイズブラケットを付けて術前矯正を始めました。
骨の中に埋まっている左上の第2小臼歯は手術の時に抜いてもらいます。


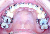
術前矯正が終わりました。一見きれいになったようですが下あごはまだ左にずれたままです。
手術を担当する口腔外科医と最終打ち合わせをします。


手術時には必ずレントゲン上での計画(ペーパーサージェリー)と模型上でより具体的な計画を立てます。(モデルサージェリー)
上あごは左へ2mm,前方へ2mm(Le Fort 1型)、下あごは右後方へ3.5mm,正面右へ3mm、左後方へ2.5mm(IVRO)、また顔のバランスをとるためあごの先を前方に5mm移動しました。(genioplasty)手術が終わり、退院当日にできるだけ来院していただきます。この方は手術後13日目でした。
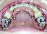
手術前に製作して渡しておいた装置(オルソサージカルスプリント)を入れ、ゴムをかけた状態できていただきます。


術前矯正がうまくいったので術後矯正は微調整で済みました。
骨が固まり安定するまで待って装置をはずします。




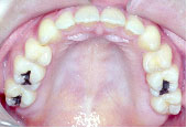
あごのずれもなくなり、バランスのとれた美しい口元になりました。咬み合わせも非常に良くなってご本人は大変満足されています。
治療期間は3年7か月です。



ここまでの費用は、総額約27万円です。
(公的医療保険が適用されています。これ以外に外科手術費用がかかりますが、公的医療保険に加え高額療養費制度の適用になります。)
- 矯正治療には、う蝕や歯肉炎・歯周病、歯根吸収、歯肉退縮 などのリスクがあります。(リスク・副作用参照)
- 外科手術のリスクには、出血、腫れ、しびれ等がありますが、詳しくは顎変形症に対する外科的矯正治療 神戸市立医療センター中央市民病院をご覧ください。
