症例紹介
お悩みから探す
治療方法から探す
あごのずれ(上・下顎偏位)前歯が噛み合わない(開咬)受け口・しゃくれ(下顎前突)歯のデコボコ・ガタガタ(叢生) 外科的矯正治療(保険適用)大人の矯正
20代男性 受け口、あごのずれ、歯のデコボコを気にされて来院
-

Before

After
-
症例情報
主訴 受け口、あごのずれ、歯のデコボコを気にされて来院 診断名あるいは主な症状 顎変形症、下顎前突(上顎後方位、下顎前方位)、下顎右側偏位、顔面非対称、叢生 治療期間・回数 4年5ヶ月(ブラケットを付けていた期間は4年です) 年齢 20代 男性 治療に用いた主な装置 クォードヘリックス、エッジワイズブラケット、オルソ・ファンクショナル・サージカルスプリント 抜歯部位 左右第1小臼歯抜歯 治療費概算 32万円(公的医療保険が適用されています。これ以外に外科手術の費用がかかりますが、公的医療保険に加え高額療養費制度の適用になります。)
リスク副作用 う蝕や歯肉炎・歯周病、歯根吸収、歯肉退縮 などのリスクがあります。(リスク・副作用参照)
外科手術のリスクには、出血、腫れ、しびれ等があります。 -
- 受け口、下あごの左側へのずれ、前歯のデコボコが認められます。
- 顎変形症、下顎前突(上顎後方位、下顎前方位)、下顎右側偏位、顔面非対称、叢生と診断しました。
- 治療方針は、狭窄した上顎歯列弓の側方拡大、上顎左右第1小臼歯の抜歯で作ったスペースを利用して歯を並べた後に、外科手術によって上下顎の位置を改善します。

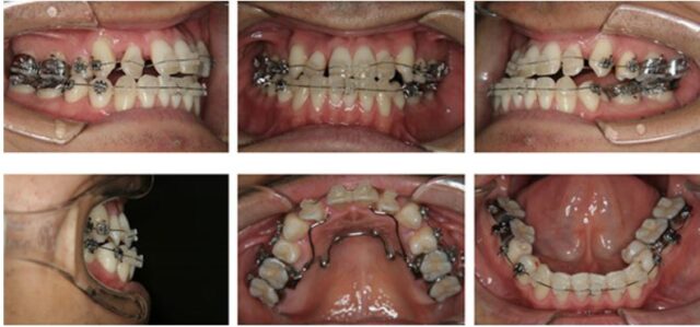
上顎歯列をクォードヘリックスで横へ拡大、左右第1小臼歯抜歯後、エッジワイズブラケットを付け、歯を移動中です

- 術前矯正が終わり、手術の準備に入ります。

- 手術前には必ずレントゲン上での計画(ペーパーサージェリー)と模型上でのより具体的な計画を立てます。(モデルサージェリー) 上あごを右側2.5mm、左側3mm前方へ(Lefort1型)、下あごを右側4mm、左側8mm後方移動します(IVRO) 。

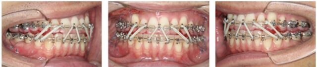
- 術後8日目の退院された時の状態です。
- (オルソ・ファンクショナル・サージカルスプリント)を装着し、上下フックにゴムをかけています。

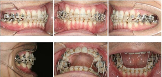
- 手術から2ヶ月半でしたが、安定していたので術後矯正を開始しました。
- しっかりと咬み合っていない歯を動かしていきます。
- 今までより少し力の弱いゴムを引き続きかけてもらいます。

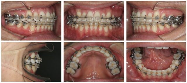
- 10ヶ月後です。
- きれいに歯が並び、上下の歯も咬み合っています。
- あごの位置も安定しているので、そろそろ装置をはずす準備に入ります。

- 咬み合わせも顔立ちも非常によくなり、ご本人も満足されています。
- 遠方からの来院で、長期間にわたる治療は大変だったと思います。
- 治療期間は4年5ヶ月,ブラケットを付けていた期間は4年です。

ここまでの費用は、総額約32万円です。(公的医療保険が適用されています。これ以外に外科手術の費用がかかりますが、公的医療保険に加え高額療養費制度の適用になります。)
- 矯正治療には、う蝕や歯肉炎・歯周病、歯根吸収、歯肉退縮 などのリスクがあります。(リスク・副作用参照)
- 外科手術のリスクには、出血、腫れ、しびれ等がありますが、詳しくは顎変形症に対する外科的矯正治療 神戸市立医療センター中央市民病院をご覧ください。
